KLINISCHER BEFUND: 168 cm, 60 kg. Gelenkstatus: Z-Daumen bds. Rechtes Sprunggelenk geschwollen, ansonsten keine synovitischen Schwellungen. Hallux valgus bds. Hammerzehen.
LABOR: Hb 12,4 g/dl, CRP <5 mg/l., BKS 10/h, Leukozyten 7.300/µl, ANA 1:100.
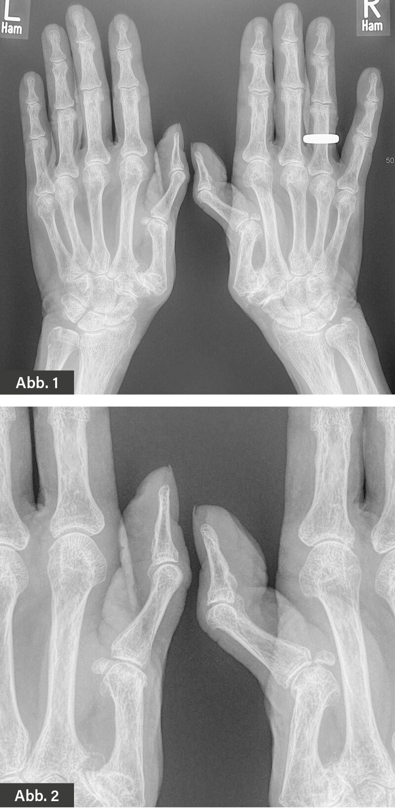
BILDGEBENDE DIAGNOSTIK: Röntgen (Abbildung 1 und 2)
DIAGNOSE: 90-90-Deformität (Z-Daumendeformität)
Bei der 90-90-Deformität handelt es sich um eine Fehlstellung/Deformierung des Daumens, die im Rahmen einer rheumatoiden Arthritis oder aber auch im Rahmen degenerativer Gelenkerkrankungen (Fingerpolyarthrose) auftreten kann. Sie ist meist beidseitig.
Die 90-90-Deformität kann als eine Unterart der Schwanenhalsdeformität angesehen werden. Die Schwanenhalsdeformität betrifft dreigliedrige Finger, die 90-90-Deformität dagegen den zweigliedrigen Daumen. Das Daumengrundgelenk ist dabei um etwa 90° gebeugt, das Daumenendgelenk jedoch überstreckt, sodass sich die charakteristische Form ergibt. Ursächlich hierfür sind Gelenkveränderungen und insbesondere Schäden am Kapsel-Bandapparat im Bereich des Daumengrund- und -sattelgelenks.
BEWERTUNG: Sinnvoll ist eine frühzeitige und ausreichende Behandlung der Grunderkrankung (bei z. B. rheumatoider Arthritis). Zum Funktionserhalt und zur Funktionsverbesserung können Ergotherapie sowie gegebenenfalls Orthesen und Schienen beitragen.
Prof. Dr. med. Herbert Kellner
Facharzt für Innere Medizin, Rheumatologie,
Gastroenterologie und Physikalische Medizin
Romanstr. 9, 80639 München
