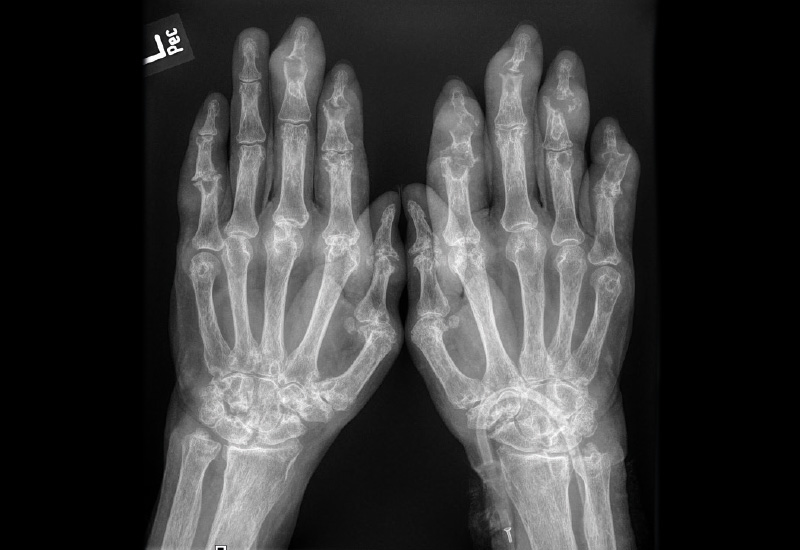
KLINISCHER BEFUND: 165 cm, 75 kg. Gelenkstatus: Verdickungen, Hautrötung, Überwärmung und z. T. Ablagerungen in den Fingergelenken beider Hände (Abb. 1).
LABOR: Hb 11,0 g/dl, CRP 31,9 mg/l., BKS 30/h, Leukozyten 10.600/µl, Kreatinin 1,28 mg/dl, Harnsäure 5,1 mg/dl, RF negativ, ANA negativ.
BILDGEBENDE DIAGNOSTIK: Sonografie und Röntgen
DIAGNOSE: Destruierende, tophöse Arthritis urica
Bei der tophösen Gicht der Frau spielen Bildgebungsverfahren wie Sonografie und Röntgen eine wichtige Rolle, insbesondere bei der Diagnose und Überwachung der Erkrankung.
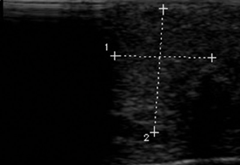
SONOGRAFIE: Die Sonografie ist ein besonders wertvolles, nicht-invasives Verfahren zur frühen Diagnose der tophösen Gicht. Sie ermöglicht die direkte Visualisierung von Harnsäurekristallen in Gelenken und Weichteilen. Ein charakteristisches Merkmal in der Sonografie ist das Doppelkonturzeichen, bei dem Harnsäurekristalle an den Gelenkoberflächen sichtbar werden. Dieses Zeichen ist hochspezifisch für Gicht und hilft, sie von anderen entzündlichen Erkrankungen zu unterscheiden. Die Sonografie eignet sich besonders gut für die frühzeitige Erkennung von Harnsäureablagerungen, was bei Frauen, die oft später im Leben an Gicht erkranken, von großer Bedeutung ist. Im Einzelfall können kortikale stanzförmige Defekte sonografisch dargestellt werden.
RÖNTGEN: Im Gegensatz zur Sonografie wird das Röntgen hauptsächlich in späteren Stadien der tophösen Gicht eingesetzt, um fortgeschrittene Veränderungen zu dokumentieren. Typische Röntgenbefunde sind Knochenläsionen und Erosionen, die durch die Ablagerung von Harnsäurekristallen verursacht werden. Tophusablagerungen können ebenfalls sichtbar werden, oft als weiße, dichte Areale in den Weichteilen um das Gelenk. Röntgenaufnahmen liefern Informationen über Gelenkschäden und Deformitäten, sind jedoch weniger empfindlich für die frühzeitige Erkennung von Gicht im Vergleich zur Sonografie.
Zusammengefasst: Während die Sonografie die frühzeitige Diagnose der tophösen Gicht ermöglicht und eine präzise Beurteilung von Kristallablagerungen bietet, ist das Röntgen hilfreich, um fortgeschrittene Gelenkschäden und Deformitäten in späten Krankheitsstadien zu dokumentieren.
Prof. Dr. med. Herbert Kellner
Facharzt für Innere Medizin, Rheumatologie,
Gastroenterologie und Physikalische Medizin
Romanstr. 9, 80639 München
