KLINISCHER BEFUND: 170 cm, 66 kg. Gelenkstatus: Sichtbare und tastbare Schwellung im Bereich der Handgelenke bds. mit synovialem Polster und nur noch schwer abgrenzbarem Processus styloideus ulnae rechtsbetont.
LABOR: Hb 12,1 g/dl, CRP 34,5 mg/l., BKS 56/h, Leukozyten 11.200/µl, Kreatinin 0,9 mg/dl, RF 102 IU/l, ccP pos., ANA neg.
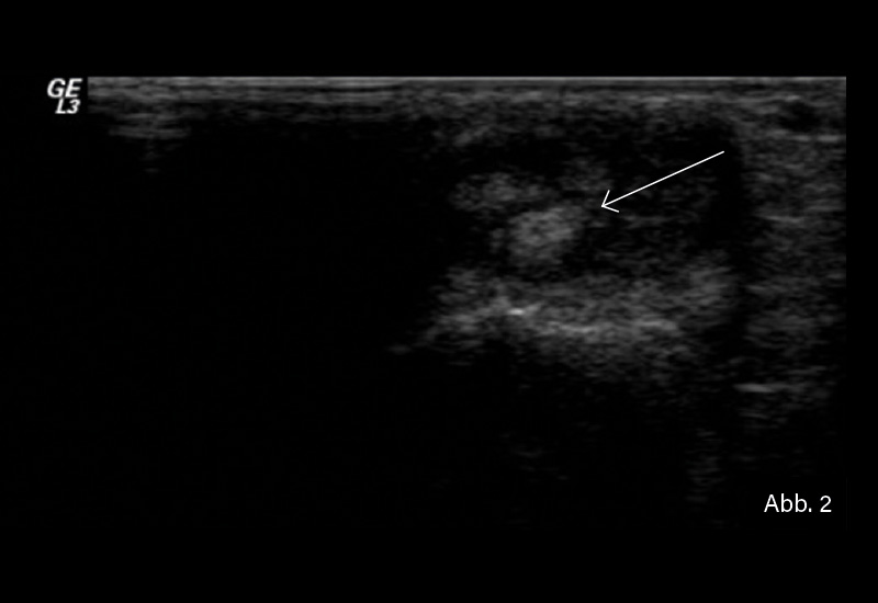
BILDGEBENDE DIAGNOSTIK: Gelenksonografie
DIAGNOSE: Tenosynovitis der Sehne des Musculus extensor carpi ulnaris
bei seropositiver RA
Der sonografische Nachweis einer Tenosynovitis der Sehne des Musculus extensor carpi ulnaris (ECU) spielt eine entscheidende Rolle in der Frühdiagnostik der RA. Die frühzeitige Erkennung entzündlicher Veränderungen ermöglicht eine zeitnahe therapeutische Intervention, die den Krankheitsverlauf positiv beeinflussen kann. Die RA manifestiert sich häufig zunächst an den Händen und Handgelenken. Dabei ist die Tenosynovitis der ECU-Sehne ein häufiger Befund. In einer Studie wurde Tenosynovitis bei mindestens einem anatomischen Ort bei 48,8 % der RA-Patienten festgestellt, wobei die ECU-Sehne zu den am häufigsten betroffenen Sehnen gehörte.
VORTEILE DER SONOGRAFIE IN DER FRÜHDIAGNOSTIK: Die Sonografie bietet mehrere Vorteile gegenüber anderen bildgebenden Verfahren wie hohe Sensitivität (Detektion von Weichteilveränderungen wie Tenosynovitis, noch bevor radiologische Veränderungen sichtbar sind), dynamische Untersuchung (die Echtzeitdarstellung erlaubt die Beurteilung der Sehnenbewegung und -funktion), keine Strahlenbelastung (im Gegensatz zu Röntgen oder CT ist sie strahlungsfrei und somit auch für wiederholte Untersuchungen geeignet) und breite Verfügbarkeit und Kosteneffizienz (Ultraschallgeräte sind weit verbreitet und ermöglichen kostengünstige Untersuchungen).
Die frühzeitige Identifikation einer Tenosynovitis der ECU-Sehne hat mehrere klinische Implikationen: Die Bestätigung einer entzündlichen Aktivität ermöglicht den frühzeitigen Einsatz krankheitsmodifizierender Therapien. Die Sonografie kann zur Überwachung des Therapieerfolgs und zur Anpassung der Behandlung beitragen. Das Vorhandensein einer Tenosynovitis ist von prognostischer Relevanz: Sie kann auf einen aggressiveren Krankheitsverlauf hinweisen und somit die Therapieentscheidung beeinflussen.
FAZIT: Der sonografische Nachweis einer Tenosynovitis der Sehne des Musculus extensor carpi ulnaris ist ein wertvoller Marker in der Frühdiagnostik der RA. Die Sonografie ermöglicht eine sensitive, dynamische und strahlungsfreie Beurteilung entzündlicher Veränderungen und sollte daher integraler Bestandteil der rheumatologischen Diagnostik sein.
Prof. Dr. med. Herbert Kellner
Facharzt für Innere Medizin, Rheumatologie,
Gastroenterologie und Physikalische Medizin
Romanstr. 9, 80639 München
