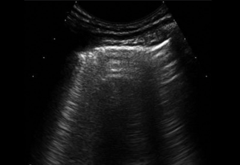
Alle 101 konsekutiv eingeschlossenen Patienten (69 % Frauen, mittleres Alter 44,7 Jahre) durchliefen eine klinische, pulmologische und rheumatologische Untersuchung, ein immunologisches Screening, Lungenscans mit HRCT und LUS sowie Lungenfunktionstests (LFTs). Die US-Untersuchung fand am selben Tag wie die HRCT statt, gemäß dem 14-Interkostalraum-Scanning-Protokoll.
Die Gesamtzahl der B-Linien wurde semiquantitativ wie folgt klassifiziert: 0, normal (≤5 B-Linien); 1, mild (6-15 B-Linien); 2, moderat (16-30 B-Linien); 3, schwer (≥ 30 B-Linien). Im HRCT zeigte sich eine RA-ILD bei 44 Patienten (43,6 %). Anhand der ROC-Kurvenanalyse konnte ein Schwellenwert von >5 B-Linien für die Diagnose von RA-ILD mit einer Sensitivität von 89 % und einer Spezifität von 93 % bestimmt werden. Die Anzahl der B-Linien korrelierte positiv mit dem mittleren Warrick-Score (r=0,836; p<0,001) und negativ mit den LFTs (r= -0,649; p<0,001).
Die Ergebnisse unterstützen die potenzielle Rolle des LUS beim RA-ILD-Screening. Durch die Verwendung eines kurzen Protokolls, das in der klinischen Routine praktikabel ist, zeigte eine B-Linien-Zahl von >5 eine gute diagnostische Leistung für die Diagnose einer ILD und korrelierte mit HRCT- und LFT-Befunden. Wichtig erscheint vor allem, dass ein negativer LUS-Befund eine ILD bei RA-Patienten ausschließen konnte.
Quelle: Rheumatology 2025; doi: 10.1093/rheumatology/keaf133
