Klinischer Befund: 176 cm, 76 kg, RR 120/70 mmHg, Puls 58/min., O2-Sättigung 97 %. Gelenkstatus: Beuge-und Streckdefizit von jeweils ca. 10° am rechten Ellenbogengelenk. Fragliche Schwellung. Kein Druckschmerz am Epicondylus humeri radialis et ulnaris. Freie Beweglichkeit der Schultergelenke.
Labor: Hb 15,3 g/dl, CRP <5 mg/l., BKS 10/h, Leukozyten 9.400/µl, RF negativ, ANA 1:100, HLA-B27 negativ.
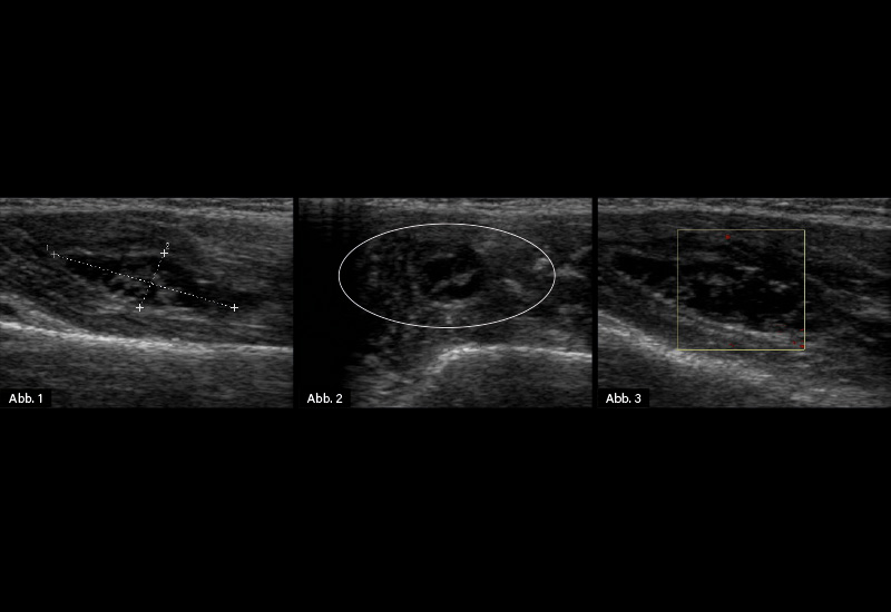
Bildgebende Diagnostik: Weichteilsonografie (s.u.)
Diagnose: Ganglion im Bereich des myotendinösen Übergangs des Musculus triceps brachii rechter Oberarm
Als Ganglion bezeichnet man einen zystischen Pseudotumor im Bereich einer Gelenkkapsel oder einer Sehnenscheide. Möglicherweise belastungs- oder auch entzündlich bedingt, kommt es zu einer vermehrten Produktion von Hyaluronsäure. Am häufigsten werden Ganglien im Bereich des Handskeletts beobachtet, sie können jedoch auch an weiteren Gelenken und Sehnen der oberen als auch unteren Extremität in unterschiedlicher Häufigkeit beobachtet werden. Ganglien treten am häufigsten zwischen dem 25. und 40. Lebensjahr auf, Frauen sind häufiger betroffen als Männer. Man unterscheidet zwischen juxtaartikulären Ganglien in der Nähe von Gelenkflächen (intraossäre oder subchondrale Zysten), Ganglien im Bereich der Weichteile, periostale und intraartikuläre Ganglien (meist intrakapsulär und extrasynovial). Ferner können Ganglien im Bereich der Kreuzbänder, im Hoff-Fettkörper und in der langen Bizepssehne nachgewiesen werden. Selten sind intramuskuläre Ganglien.
Oberflächlich gelegene Ganglien können bereits klinisch identifiziert werden. Die Diagnosebestätigung und der Nachweis tiefer gelegener Ganglien erfolgt meistens sonografisch. Es kommt dann eine echofreie bzw. echoarme, gut abgrenzbare Struktur mit meist dorsaler Schallverstärkung zur Darstellung. In einzelnen Fällen kommt es bei chronischen Verläufen zur Eindickung der Ganglienflüssigkeit und echoreichen Binnenechos. Im Power-Doppler kann verständlicherweise kein Fluss nachgewiesen werden, dies dient auch der Unterscheidung zu vaskulären Strukturen. Bei ungünstiger Lage, die einer sonografischen Untersuchung nicht zugänglich ist, kann durch eine MRT-Untersuchung der Verdacht verifiziert werden.
Viele Ganglien bilden sich spontan zurück. Ganglien können auch punktiert und es kann auch versucht werden, den Ganglieninhalt abzusaugen. Dies gelingt jedoch nicht in allen Fällen und es kommt häufig zu Rezidiven. In einzelnen Fällen ist eine operative Therapie mit Entfernung des Ganglions bei Kompressionssyndrom und/oder Schmerzen erforderlich.
Prof. Dr. med. Herbert Kellner
Facharzt für Innere Medizin, Rheumatologie,
Gastroenterologie und Physikalische Medizin
Romanstr. 9, 80639 München
