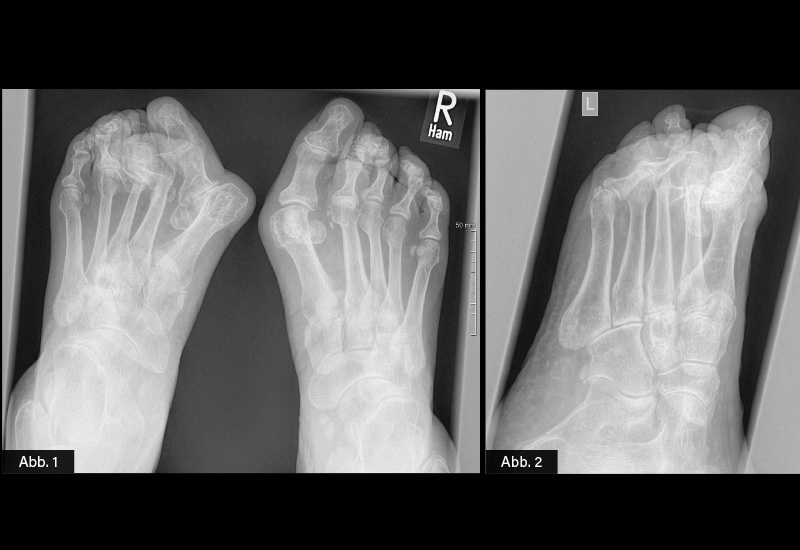
KLINISCHER BEFUND: 163 cm, 58 kg. Gelenkstatus: Keine peripheren synovitischen Schwellungen. Hallux valgus-Fehlstellung bds., ausgeprägt links mit aufgebrauchtem Quergewölbe und plantar druckschmerzhaften Metatarsalköpfchen D2-D4.
LABOR: Hb 13,5 g/dl, CRP 2,5 mg/l, BKS 16/h, Leukozyten 11.200/µl, Kreatinin 0,9 mg/dl, RF neg., ccP neg., ANA 1:3.200, Zentromer-Ak positiv.
BILDGEBENDE DIAGNOSTIK:
Röntgen (siehe Abbildung)
DIAGNOSE: Hallux valgus-Fehlstellung bds., linksbetont mit Luxation und Subluxationsstellung
Der Hallux valgus ist eine der häufigsten Fehlstellungen des Vorfußes, bei der die Großzehe im Grundgelenk nach außen (lateral) abweicht. Die Ursachen sind multifaktoriell und umfassen hauptsächlich:
- Familiäre Veranlagung (genetische Prädisposition, Bindegewebsschwäche)
- Falsches Schuhwerk, insbesondere enge oder hochhackige Schuhe, die den Vorfuß zusammendrücken
- Fußfehlstellungen, wie Spreizfuß oder Knick-Senk-Fuß
- Gelenkerkrankungen, wie etwa rheumatoide Arthritis
- Übergewicht, das die Fußstruktur zusätzlich belastet
- Verkürzte Achillessehne oder Wadenmuskulatur
- Schwäche der Fußmuskulatur durch Bewegungsmangel.
Die Diagnostik basiert auf:
- Klinischer Befund: Auffällige Fehlstellung der Großzehe, vorstehender Ballen
- Röntgen (Standard): Meist als dorso-plantare Aufnahme im Stehen (Belastung), um Ausmaß und Winkel der Fehlstellung zu bestimmen (z. B. Hallux-valgus-Winkel, Intermetatarsalwinkel)
- Spezielle Aufnahmen (z. B. Schrägaufnahmen, MRT, CT, DVT) werden bei Fragestellungen zu knöchernen Begleitverletzungen oder Pathologien des Weichteilgewebes eingesetzt, sind aber in der Regel nur bei besonderen Fragestellungen notwendig.
Röntgen hilft zudem, Begleiterkrankungen (z. B. Arthrose, Luxationen der Kleinzehen) zu erfassen.
FAZIT: Der Hallux valgus entsteht v. a. durch eine genetische Prädisposition und wird häufig durch ungeeignete Schuhe und zusätzliche Belastungsfaktoren verstärkt. Die diagnostische Bildgebung stützt sich in erster Linie auf belastungsadaptierte Röntgenaufnahmen zur Winkelbestimmung und Stadieneinteilung.
Prof. Dr. med. Herbert Kellner
Facharzt für Innere Medizin, Rheumatologie, Gastroenterologie und Physikalische Medizin
Romanstr. 9, 80639 München
