KLINISCHER BEFUND: 172 cm, 74 kg. Wirbelsäulenstatus: HWS-Rotation 0-0-0°. Tragus-Wandabstand 28 cm, BWS Thoraxumfang Inspiration/Exspiration Differenz 2,5 cm. LWS - Schober lumbal 10/11,1 cm, Finger-Bodenabstand 45 cm.
LABOR: (18.07.2022): CRP 9,4 mg/l (Norm bis 5 mg/l), BKS 27/h, Leukozyten 8.900/µl, Hb 14,2 g/dl, RF-negativ, ccP-Antikörper negativ, HLA-B27 positiv.
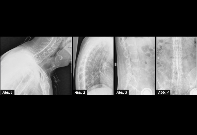
DIAGNOSE: Vollbild einer multisegmentalen AS mit Längsbandverkalkung, Syndesmophyten und Ankylose der ISG
BEMERKUNGEN ZUR BILDGEBENDEN DIAGNOSTIK: Röntgen: In allen Stadien der Spondyloarthritis (SpA), insbesondere natürlich in fortgeschrittenen Fällen, fällt eine diffuse Osteopenie auf. Charakteristisches Kennzeichen der SpA ist eine bilaterale symmetrische, gegebenenfalls zu Beginn der Erkrankung asymmetrische Gelenksspalterweiterung und im weiteren Verlauf dann -verschmälerung. Es lassen sich subchondrale Erosionen und Sklerosen nachweisen. In fortgeschrittenen Fällen kommt es zu einer Ankylose (ISG-Arthritis Grad IV) (Abb. 4). In frühen Phasen lassen sich glänzende Ecken (shiny corners) im Bereich der vorderen Wirbelkörperkanten entdecken (Romanus-Läsionen). Im Verlauf kommt es zur Ausbildung von Kastenwirbeln und zu einem späteren Zeitpunkt zu dünnen vertikalen Syndesmophyten, ausgehend vom Annulus fibrosus(Abb. 1-3). Langstreckige Fusionen im Bereich der Wirbelkörper und Facettengelenke kommen in späteren Stadien der Erkrankung zur Ausbildung und werden dann als Bambusstabwirbelsäule bezeichnet. Durch Fusion und krankheitsbedingte Osteoporose ist das Risiko von Wirbelkörperquerfrakturen erhöht, die im Röntgen nur schwer nachweisbar sind. Am häufigsten treten diese auf im zervikothorakalen sowie thorakolumbalen Übergangsbereich.
Computertomografie: Die Computertomografie (CT) wird insbesondere nach einem Trauma durchgeführt, um eine Chalk Stick Fracture nachzuweisen. Weiterhin werden chronische Veränderungen wie Erosionen, subchondrale Sklerose und Ankylose im CT besser dargestellt. Magnetresonanztomografie: In der Magnetresonanztomografie (MRT) können frühzeitig (d. h. noch vor dem Nachweis im Röntgenbild) strukturelle Veränderungen der AS nachgewiesen werden. Als typische Läsionen gelten auch hier Romanus-Läsionen, Knochenmarködeme im ISG-Bereich und ein frühzeitiger Syndesmophytennachweis. Durch Kontrastmittelgabe können entzündliche Veränderungen an der Wirbelsäule und ISG deutlicher und abgrenzbarer nachgewiesen werden.
Prof. Dr. med. Herbert Kellner
Facharzt für Innere Medizin, Rheumatologie,
Gastroenterologie und Physikalische Medizin
Romanstr. 9, 80639 München
