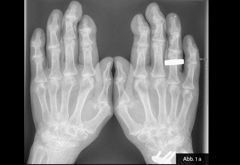
KLINISCHER BEFUND: 155 cm, 59 kg, RR 120/80, Puls 64/min. Gelenkstatus: Derbe Auftreibungen an einzelnen Fingermittel- und Fingerendgelenken im Sinne einer Fingerpolyarthrose (Heberden- und Bouchard-Typ). Haut: Calcinosis cutis, unter anderem an D IV der rechten und D III der linken Hand.
LABOR: Hb 12,8 g/dl, CRP <1 mg/l., BKS 12/h, Leukozyten 7.700/µl, Kreatinin 0,88 mg/dl, RF neg., ccP neg., ANA 1:1024, Zentromer-Ak positiv.
BILDGEBENDE DIAGNOSTIK: Röntgen s. u.
DIAGNOSE: Calcinosis cutis bei CREST-Syndrom
Die Bildgebung bei Calcinosis cutis dient der Erfassung und Charakterisierung von Kalkablagerungen in Haut und Subkutis. Für den Nachweis und die Ausbreitung der Verkalkungen werden häufig konventionelle Röntgenaufnahmen eingesetzt, da diese die Kalkdepots meist deutlich sichtbar machen. Die Sonografie kann kleinere Verkalkungen, ihre Morphologie sowie die Tiefe und das Ausmaß der Läsionen darstellen. Bei unklaren Befunden oder ausgedehnter Beteiligung eignet sich die Computertomografie (CT) zur exakten Lokalisierung und Quantifizierung von Kalzinosen. Die Magnetresonanztomografie (MRT) ist zum Nachweis von Kalk weniger sensitiv, kann aber hilfreich zur Beurteilung des umgebenden Weichteilstatus sein. Radiologische Methoden sind entscheidend zur Differenzierung gegenüber anderen Ablagerungsdermatosen (z. B. Ossifikation, Amyloidose).
FAZIT: Röntgen und Sonografie sind zentrale Instrumente zur Diagnose und Verlaufskontrolle von Calcinosis cutis. CT und MRT können bei komplexen oder ausgedehnten Befunden zum Einsatz kommen und sind meist für die alltägliche klinische Diagnostik nicht erforderlich.
Prof. Dr. med. Herbert Kellner
Facharzt für Innere Medizin, Rheumatologie,
Gastroenterologie und Physikalische Medizin
Romanstr. 9, 80639 München
