KLINISCHER BEFUND: 165 cm (1993 bei Musterung 178 cm) 101 kg, Wirbelsäulenstatus: HWS – Rotation 0-0-0°), Traguswandabstand 25 cm, BWS – Thoraxumfang Inspiration/Exspiration Differenz 0 cm, LWS – Schober lumbal 10/12 cm. Finger-Boden-Abstand 39 cm. Kein Druckschmerz im ISG-Bereich. Reizlose Narben bei Z. n. zweimaliger Aufrichtoperation.
LABOR: Hb 16,4 g/dl, CRP <5 mg/l., BKS 12/h, Leukozyten 8.400/µl, ANA-negativ, HLA-B27-positiv.
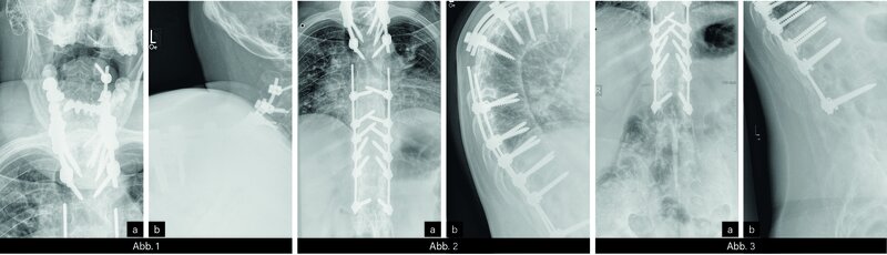
BILDGEBENDE DIAGNOSTIK: Röntgen (s. u.)
DIAGNOSE: Fortgeschrittene AS mit Z. n. zweimaliger Aufrichtoperation
Die AS ist eine chronische Entzündung der kleinen Wirbelgelenke aus dem rheumatischen Formenkreis. Sie gehört zur Gruppe der seronegativen Spondylarthritiden. Die bevorzugte Manifestation der Systemerkrankung liegt im Bereich der kaudalen Wirbelsäule und der Iliosakralgelenke (ISG). Als bildgebende Diagnostik wird im Frühstadium der Erkrankung die MRT eingesetzt. Nach monatelanger Krankheitsdauer können radiologisch typische, z. T. pathognomonische Befunde erhoben werden. Frühzeitige radiologische Hinweise auf eine AS sind dünne vertikale Syndesmophyten und eine begleitende bilaterale Sakroiliitis. Ferner kommt es zu einer diffusen Osteopenie des Achsenskeletts. Im Endstadium versteift sich die gesamte Wirbelsäule bambusstabförmig und es kommt zur Kastenwirbelbildung. Die kyphotische Fehlstellung führt zum Totalrundrücken. Im fortgeschrittenen Stadium ist als operative Therapieoption eine chirurgische Aufrichtoperation möglich.
Prof. Dr. med. Herbert Kellner
Facharzt für Innere Medizin, Rheumatologie,
Gastroenterologie und Physikalische Medizin
Romanstr. 9, 80639 München
