KLINISCHER BEFUND: 154 cm, 69 kg, RR 112/78, Puls 72/min. Gelenkstatus: Polyartikuläre Gelenkschmerzen an der oberen und unteren Extremität. Chronische Synovitis an den Fingergrundgelenken DII-IV bds. Faustschluss bds. Gehen nur an Krücken möglich.
LABOR: Hb 15,8 g/dl, CRP 6,6 mg/l., BKS 34/h, Leukozyten 7.800/µl, Kreatinin 0,69 mg/dl, RF pos. (42,8 IU), ccP pos., ANA 1:100.
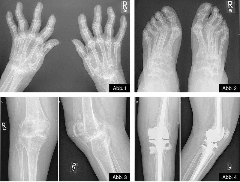
BILDGEBENDE DIAGNOSTIK: Röntgen (s. u.)
DIAGNOSE: Langjährige destruierende seropositive RA
Die bildgebende Diagnostik spielt eine zentrale Rolle in der Erkennung, Beurteilung und Verlaufskontrolle der destruierenden RA. Zu deren Beginn liefert die hochauflösende Sonografie einen sensitiven Nachweis für Synovitiden, Ergüsse und Entzündungsprozesse auch kleiner Gelenke – oft noch bevor radiologische Veränderungen sichtbar sind. Mithilfe der Doppler-Sonografie kann zudem die Entzündungsaktivität quantifiziert werden, was wertvoll für die Steuerung der Therapie ist.
Die Magnetresonanztomografie (MRT) ist besonders geeignet, frühe Zeichen wie Knochenmarksödeme und erste Erosionen zu erkennen. Im Vergleich zum Röntgenbild ist sie wesentlich sensitiver für entzündliche Veränderungen und Strukturschädigungen noch im Frühstadium.
Konventionelle Röntgenaufnahmen bleiben dennoch Standard zur Verlaufskontrolle, da sie typische destruktive Veränderungen wie gelenknahe Usuren, Destruktionen, Fehlstellungen und Osteoporose nachweisen können. Radiologische Veränderungen dokumentieren das Fortschreiten der destruktiven Prozesse und sind wichtig für die Therapieentscheidung und Prognoseabschätzung.
Fazit
Insgesamt ermöglicht der gezielte Einsatz verschiedener bildgebender Verfahren – je nach Krankheitsstadium und Fragestellung – eine frühzeitige Diagnose, differenzierte Therapieplanung und die Überwachung der Krankheitsprogression bei destruktiver rheumatoider Arthritis.
Prof. Dr. med. Herbert Kellner
Facharzt für Innere Medizin, Rheumatologie, Gastroenterologie und Physikalische Medizin
Romanstr. 9, 80639 München
