KLINISCHER BEFUND: 160,5 cm, 60 kg. Gelenkstatus: Versteifung des rechten Handgelenks. Deformität im Bereich des gesamten Handskelettes bds. Faustschluss bds. möglich. Derbe Auftreibungen und z. T. Fehlstellungen an den Fingerendgelenken D2 und D5. Druckschmerz am medialen Gelenkspalt Kniegelenke bds. Hallux valgus-Fehlstellung im Vorfußbereich, linksbetont. Spreizfuß. Aufgebrauchtes Quergewölbe.
LABOR: Hb 13,0 g/dl, CRP <5 mg/l., BKS 28/h, Leukos 6.200/µl, RF 167 IU/ml, ccP-Ak >500, ANA 1:320.
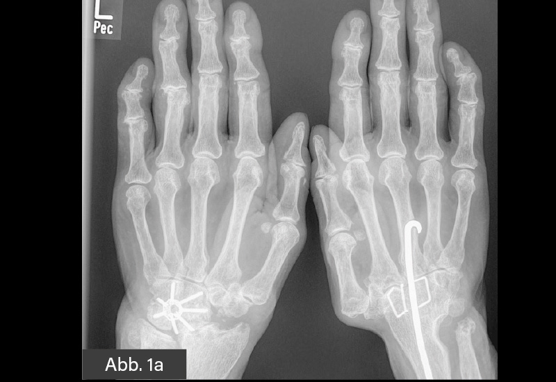
BILDGEBENDE DIAGNOSTIK: Röntgen (s. u.)
DIAGNOSE: Fortgeschrittene destruierende RA mit destruiertem Carpus bds.
Die Basis der bildgebenden Diagnostik bei RA stellen Sonografie und Röntgen dar. Sonografisch können krankheitstypische Synovitiden und Tenosynovitiden an betroffenen Gelenken sensitiver als bei der klinischen Untersuchung nachgewiesen werden. Auch der Ergussnachweis und die Darstellung von Synovialzysten (am häufigsten einer Baker-Zyste) gelingt mit großer Zuverlässigkeit. Durch die Powerdoppler-Sonografie kann eine Aktivität der Erkrankung am individuell untersuchten Gelenk dokumentiert werden. Damit ist frühzeitig das bildgebende Korrelat für die Diagnose einer RA möglich. In der Basisdiagnostik wird die Sonografie durch das Röntgen ergänzt. In der Regel sollten Röntgenaufnahmen des Hand- und Fußskeletts beidseitig und in 2 Ebenen durchgeführt werden. Ergänzend können Röntgenaufnahmen an klinisch betroffenen Gelenken durchgeführt werden.
Während die CT nur mit hochauflösender Technik (Mikro-CT) einem Beitrag zur bildgebenden RA-Diagnostik leisten kann, ermöglicht die MRT eine dreidimensionale Beurteilung aller am Gelenksaufbau beteiligten Strukturen (Gelenkkapsel, Knorpel, Synovialis und Knochen). Es gelingt auch sicher, frühe ossäre Manifestationen (z. B. Knochenmarksödem) sowie Synovitis und Tenosynovitis darzustellen.
Prof. Dr. med. Herbert Kellner
Facharzt für Innere Medizin, Rheumatologie,
Gastroenterologie und Physikalische Medizin
Romanstr. 9, 80639 München
